Esta página incluye imágenes de procedimientos quirúrgicos que podrían resultar explicitas.
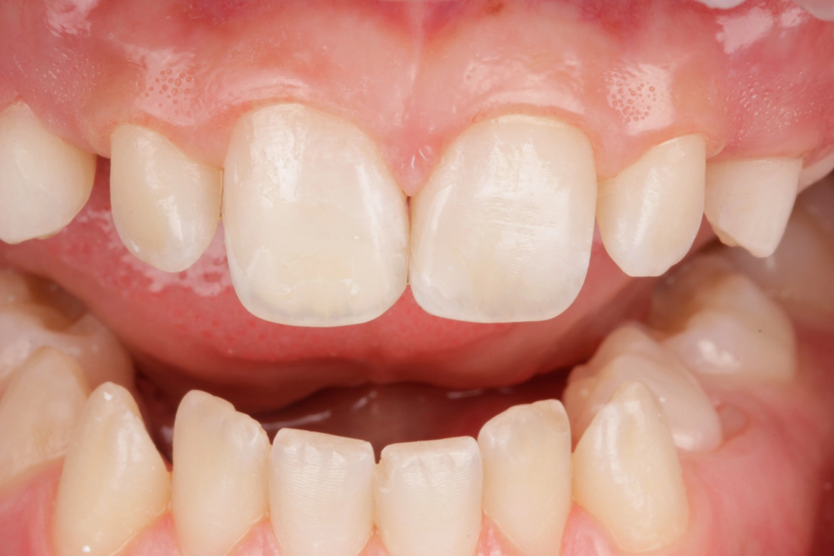
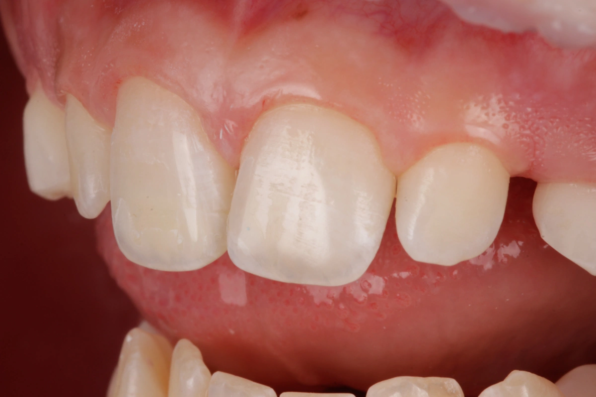
Caso clínico

«Reposición de diente fracturado con el propio fragmento del paciente.»

Paciente infantil acude a consulta tras traumatismo jugando en el colegio. Trae los fragmentos de los dientes fracturados, ideal para ser lo más conservadores posible. Una vez comprobado que los fragmentos encajan correctamente, los desinfectamos y los cementamos con técnica adhesiva.

En casos de poder conservar el fragmento, lo ideal es hacerlo en la propia saliva del paciente (teniendo cuidado de no tragarlo), en suero fisiológico o en leche.

Es importante hacer controles radiográficos periódicos ya que muchas de las lesiones apicales no surgen en el momento del traumatismo, si no a posteriori.

Antes

Después

Otros casos clínicos

Google reCaptcha: Clave de sitio no válida.