Esta página incluye imágenes de procedimientos quirúrgicos que podrían resultar explicitas.

Caso clínico
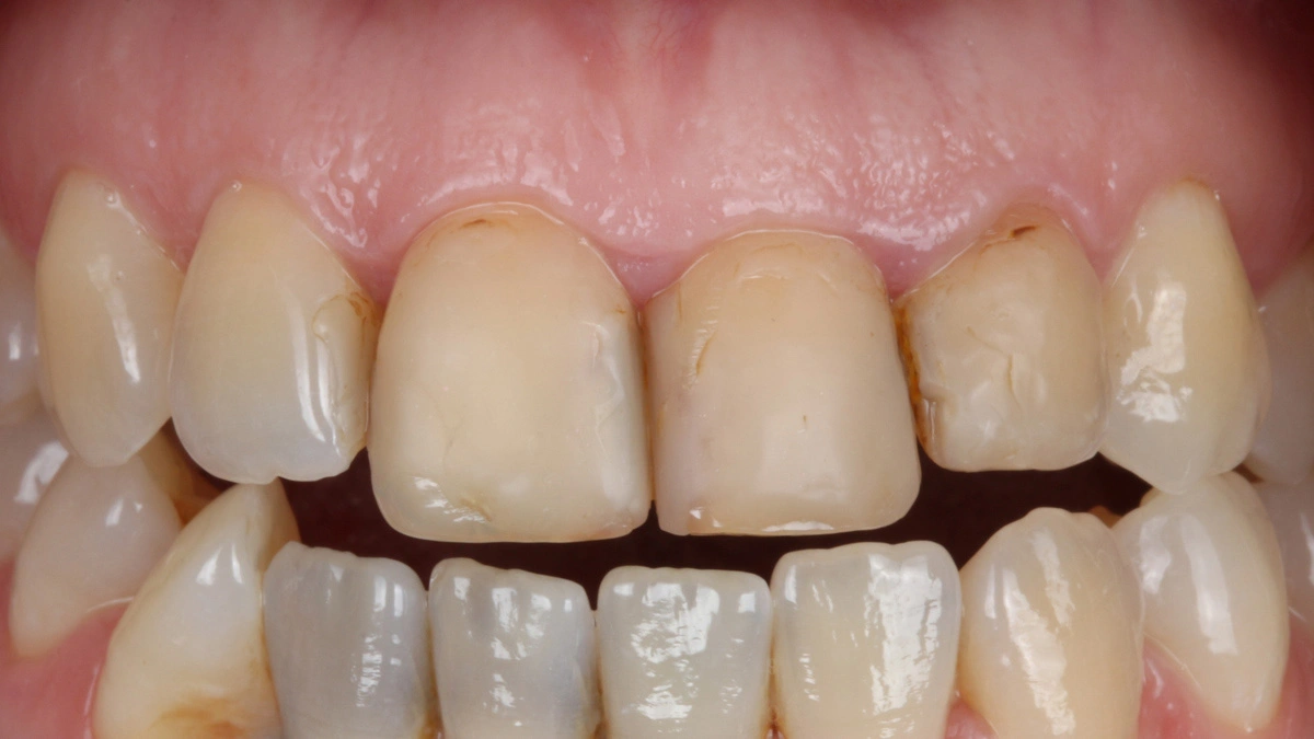
«Cambio de carillas de composite obsoletas por carillas cerámicas en paciente joven.»
Paciente acude a consulta interesada en mejorar el aspecto de su sonrisa.
Presenta carillas de composite obsoletas, filtradas por caries, opacas, con falta de brillo y luminosidad. Proponemos sustituirlas por carillas feldespáticas de alta estética.






