Esta página incluye imágenes de procedimientos quirúrgicos que podrían resultar explicitas.

Caso clínico
«Rehabilitación completa adhesiva por desgaste en paciente joven.»
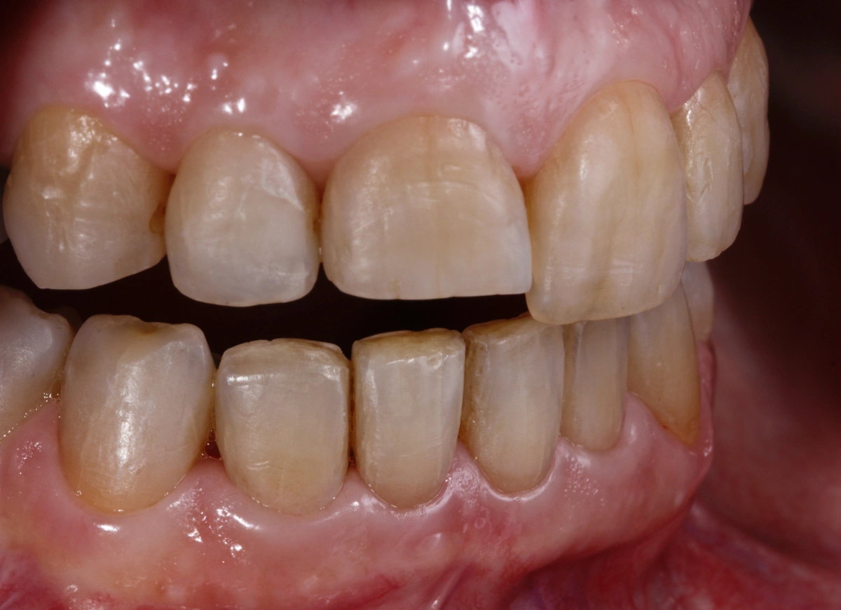
Paciente acude a consulta tras tratamiento de ortodoncia para mejorar el aspecto de su sonrisa.
Presenta tinciones por tetraciclinas y desgaste dental severo.
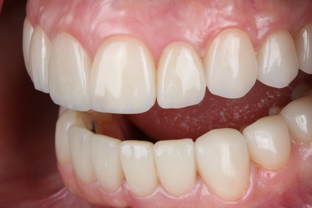
Tras realizar un estudio exhaustivo optamos por rehabilitación completa adhesiva con carillas e incrustaciones cerámicas. Realizamos una prueba de mock-up previa a la preparación de los dientes para establecer la longitud de los dientes definitivos.
Las carillas las realizamos en porcelana feldespática y las incrustaciones en disilicato de litio.
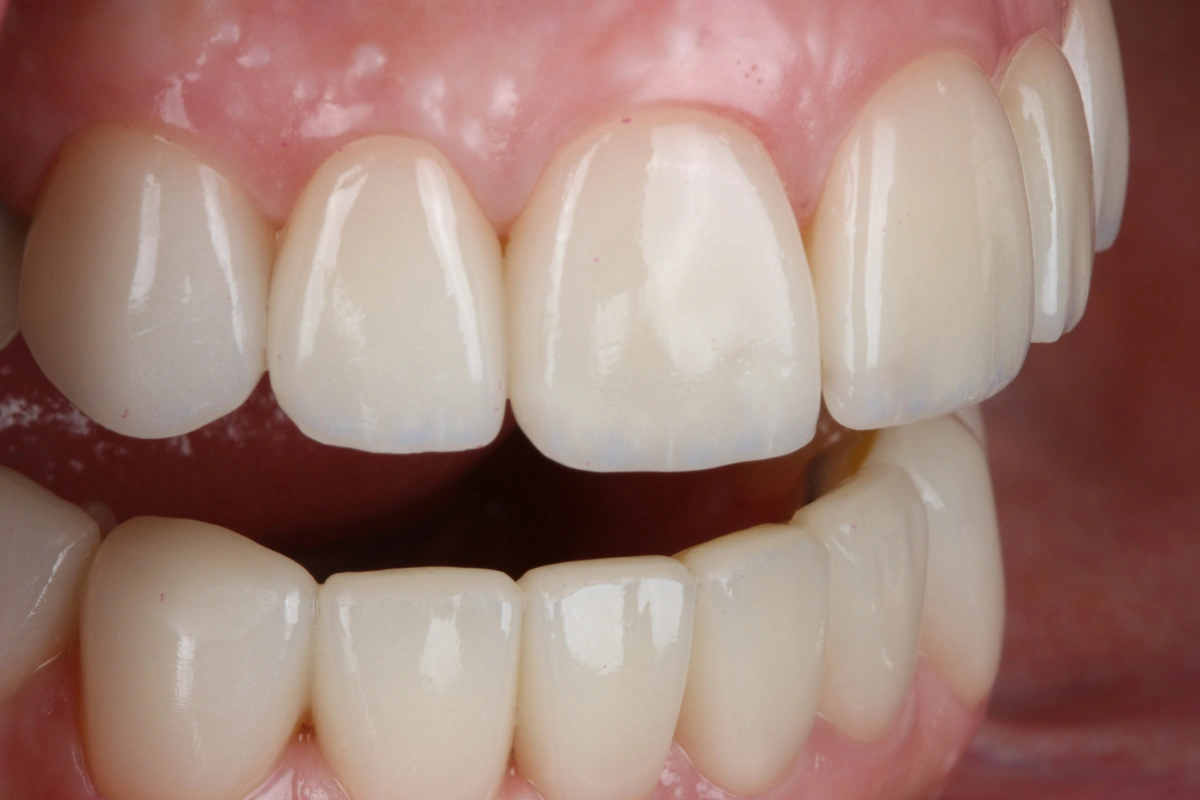
Revisamos a la paciente cada 6 meses.







