Esta página incluye imágenes de procedimientos quirúrgicos que podrían resultar explicitas.

Caso clínico
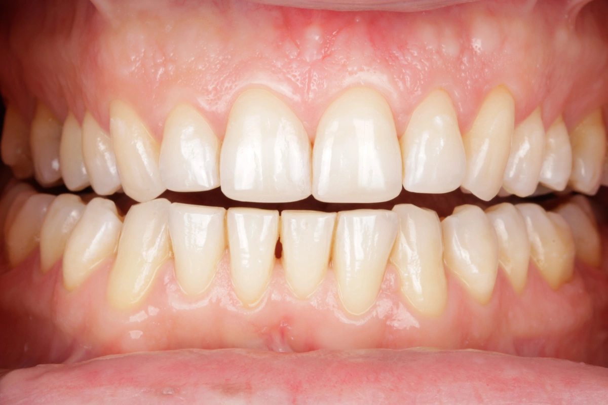
«Tratamiento de desgaste incipiente con composite directo en paciente joven.»
Paciente acude a consulta para una revisión. Interceptamos desgaste en sector anterior en ausencia de guía anterior y guías caninas.
Proponemos restaurar la guía anterior con composite directo en bordes incisales y cúspides de caninos.
Al finalizar, realizamos una férula de descarga tipo Michigan. Revisamos a la paciente cada 6 meses.


