Esta página incluye imágenes de procedimientos quirúrgicos que podrían resultar explicitas.

Caso clínico
«Rehabilitación completa adhesiva por desgaste en paciente de avanzada edad.»
Paciente acude a consulta preocupado por el aspecto desgastado de su dentición.
Presenta signos de atricción y erosión.
Tras realizar un estudio exhaustivo optamos por una rehabilitación completa adhesiva con carillas e incrustaciones. Realizamos una prueba previa a la preparación de los dientes para establecer la longitud de los dientes definitivos.
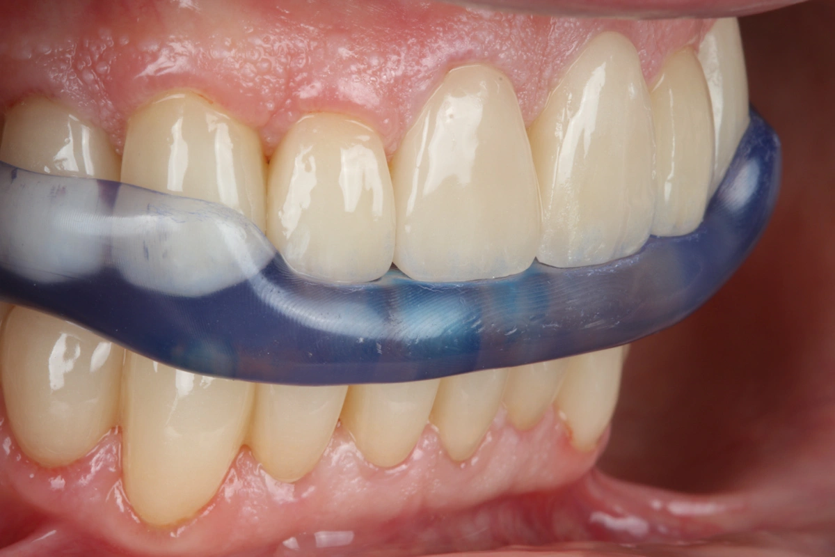
Al finalizar, colocamos una férula de protección de restauraciones tipo férula de descarga Michigan para su uso nocturno.
Revisamos al paciente cada 6 meses.



