Desgaste dental

El desgaste dental es una de las enfermedades del Siglo XXI
Está asociado a todo lo que hacemos en nuestro día a día. El estrés, la hiperconectividad, la falta de sueño, la dieta, la toma de medicamentos, los hábitos nocivos como el tabaco o el alcohol, la dieta… influyen en la calidad y cantidad de nuestra saliva, siendo ésta fundamental para proteger los dientes de manera natural.
Existen distintos tipos de desgaste en función del factor que los produzca
De origen extrínseco: cepillado dental agresivo, mordisqueo de uñas u objetos, dietas ácidas, bebidas carbonatadas o azucaradas.
De origen intrínseco: bruxismo o hábito inconsciente de rechinar los dientes entre sí, reflujo gastroesofágico o acidez.
El desgaste dental puede manifestarse en mayor o menor grado y, dado que nuestros dientes se van a desgastar de manera natural con el paso del tiempo, hay factores agravantes que pueden acelerar este desgaste fisiológico.
Es importante una primera entrevista con el paciente para poder detectar estos posibles factores.


Preguntas frecuentes
¿Cómo sé si tengo desgaste dental?
El desgaste dental se manifiesta de diferentes maneras. Puede ser leve, con signos de desgaste incipiente, que el paciente apenas percibe. Suele estar localizado en los dientes anteriores. Cuando es un poco más avanzado, se pueden observar signos y aparecer síntomas, el más común es la hipersensibilidad dentinaria. Cuando el desgaste es avanzado o severo se presenta con pérdida de esmalte y dentina con graves consecuencias para toda la dentición.
¿Es lo mismo el desgaste que el bruxismo?
El bruxismo no siempre implica desgaste dental. Se entiende como bruxismo a la hiperfunción inconsciente de los músculos implicados en la masticación.
Hay dos tipos de bruxismo: el céntrico y el excéntrico. El bruxismo céntrico se entiende como ‘’apretamiento dental’’ de los dientes superiores contra los inferiores. El bruxismo excéntrico se entiende como ‘’rechinamiento dental’’ de los dientes superiores contra los inferiores.
¿Y cómo sé si tengo un tipo de bruxismo u otro?
En función de los signos y síntomas presentes. El bruxismo céntrico suele manifestarse con dolor en los músculos implicados en la masticación, y a nivel dental, con facetas de desgaste leves, a veces inexistentes, en las caras oclusales de los molares.
En pacientes con bruxismo excéntrico es muy frecuente la ausencia de guías caninas o ‘’colmillos planos’’ (sin cúspides), y cuando el desgaste es más avanzado, se manifiesta con una anatomía dental desgastada en molares.

Y si tengo bruxismo, ¿Necesito una férula de descarga?
Sí. La férula de descarga se confecciona de una manera u otra en función del tipo de bruxismo.
Tratamiento del desgaste
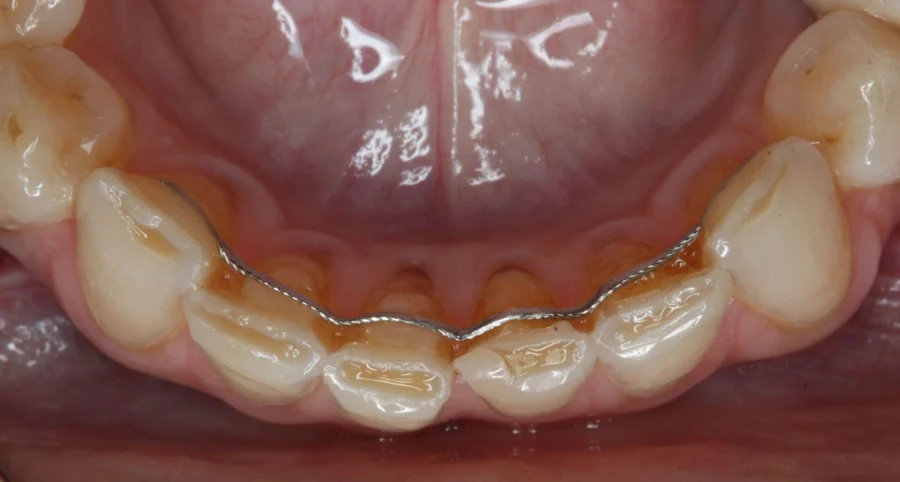
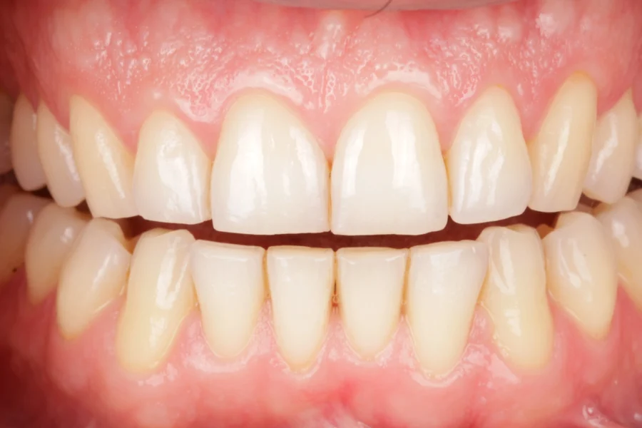
Cuando el desgaste dental es leve pero hay pérdida de estructura dental, hay dos maneras de abordarlo. En caso de que sea leve pero haya pérdida de esmalte, suelo actuar con restauraciones de composite para proteger el diente y evitar que la estructura dental se siga desgastando.
Cuanto mayor es el desgaste, mayor estructura dentaria hay que reponer, por lo que el tratamiento es más complejo, no porque sea complejo de ejecutar, si no porque cuanto más desgaste, mayor número de dientes estarán involucrados en el tratamiento. El material de elección suele ser la cerámica. Son tratamientos adhesivos, en los que utilizamos la estructura dental remanente para adherirnos a ella y devolver la anatomía perdida.
Apostamos por una estética dental que se percibe pero no se nota, aspirando siempre a conseguir unas restauraciones que se mimetizan y realzan la armonía natural de la sonrisa. El objetivo de las rehabilitaciones es equilibrar el aspecto de la sonrisa y devolver la funcionalidad.

Mis especialidades
Estética dental
Tratamientos para mejorar tu sonrisa, respetando tu identidad y salud.
Desgaste dental
Diagnóstico y tratamiento para restaurar la función y estética de tu sonrisa.
Blanqueamiento
Tratamiento seguro para aclarar el tono de tus dientes y reforzar el esmalte.
Carillas dentales
Láminas de porcelana que restauran la forma, color y función de los dientes.
Ortodoncia
Tratamientos personalizados para alinear los dientes y mejorar su función.
Planificación digital
Tecnología 3D avanzada para diseñar tu tratamiento con máxima precisión.