Esta página incluye imágenes de procedimientos quirúrgicos que podrían resultar explicitas.

Caso clínico
«Recesiones gingivales. Tratamiento combinado de cirugía mucogingival y carillas.»
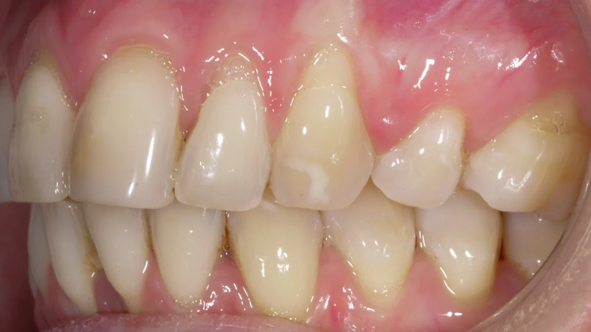
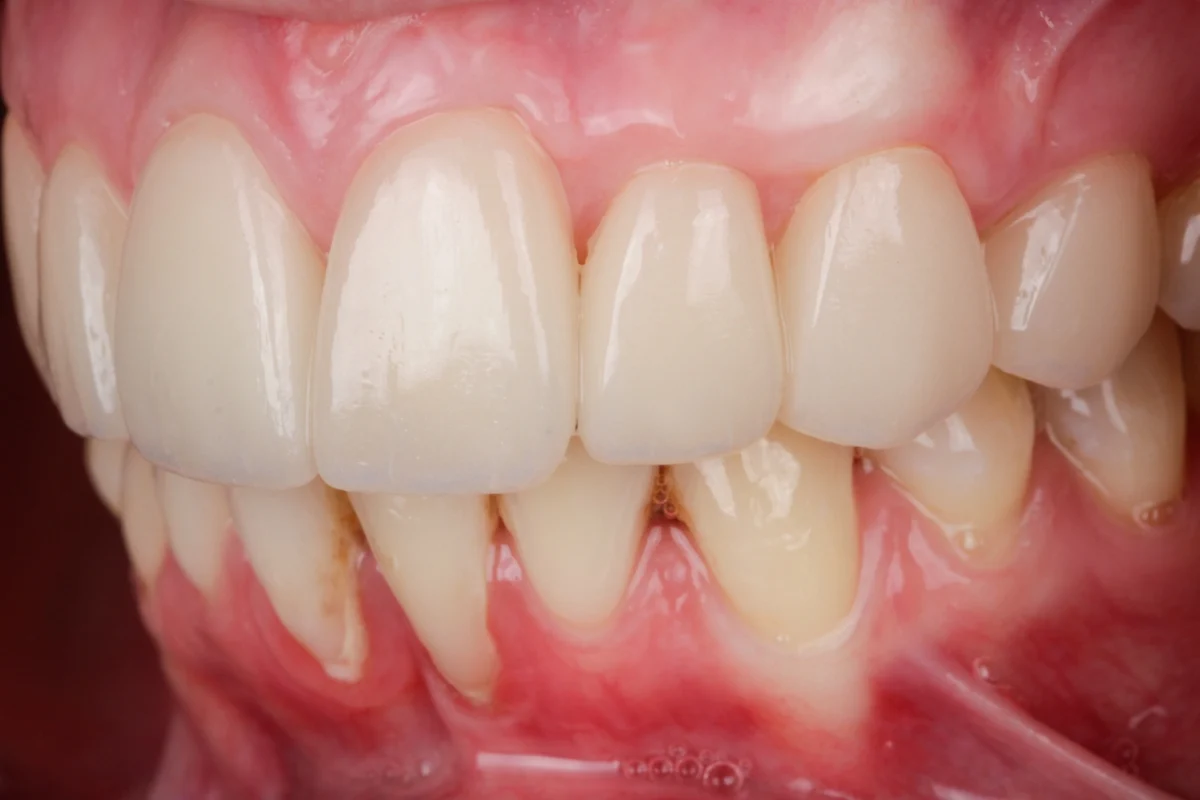
Paciente acude a consulta interesada en mejorar el aspecto de su sonrisa.
Presenta múltiples recesiones (retracción de encías) por malposición gingival y cepillado dental traumático, abfracciones y restauraciones obsoletas.
Resolvimos el caso con tratamiento periodontal, cirugía mucogingival,y carillas feldespáticas de alta estética.
Caso clínico en colaboración con el Dr. Iván Nogueira.






