Esta página incluye imágenes de procedimientos quirúrgicos que podrían resultar explicitas.

Caso clínico
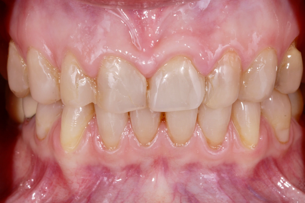
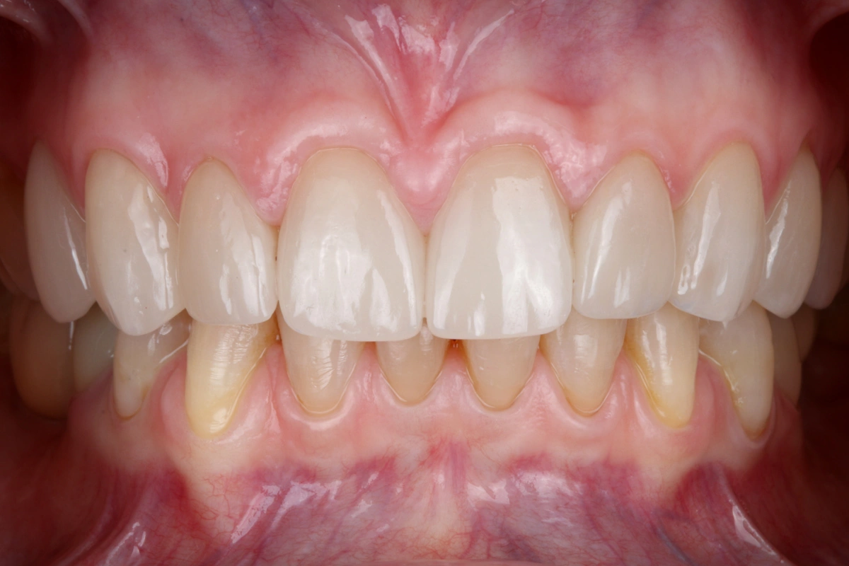
«Rehabilitación con carillas en sector anterior en paciente con desgaste dental severo y obturaciones obsoletas.»
Paciente joven acude a consulta referido por el ortodoncista para tratamiento de desgaste y cambio de restauraciones antiguas sobreobturadas y filtradas.
Tras realizar un estudio exhaustivo optamos por una rehabilitación en sector anterior con carillas feldespáticas.
Revisamos a la paciente cada 6 meses.


