Esta página incluye imágenes de procedimientos quirúrgicos que podrían resultar explicitas.

Caso clínico
«Rehabilitación en sector anterior con cambio de restauraciones obsoletas.»
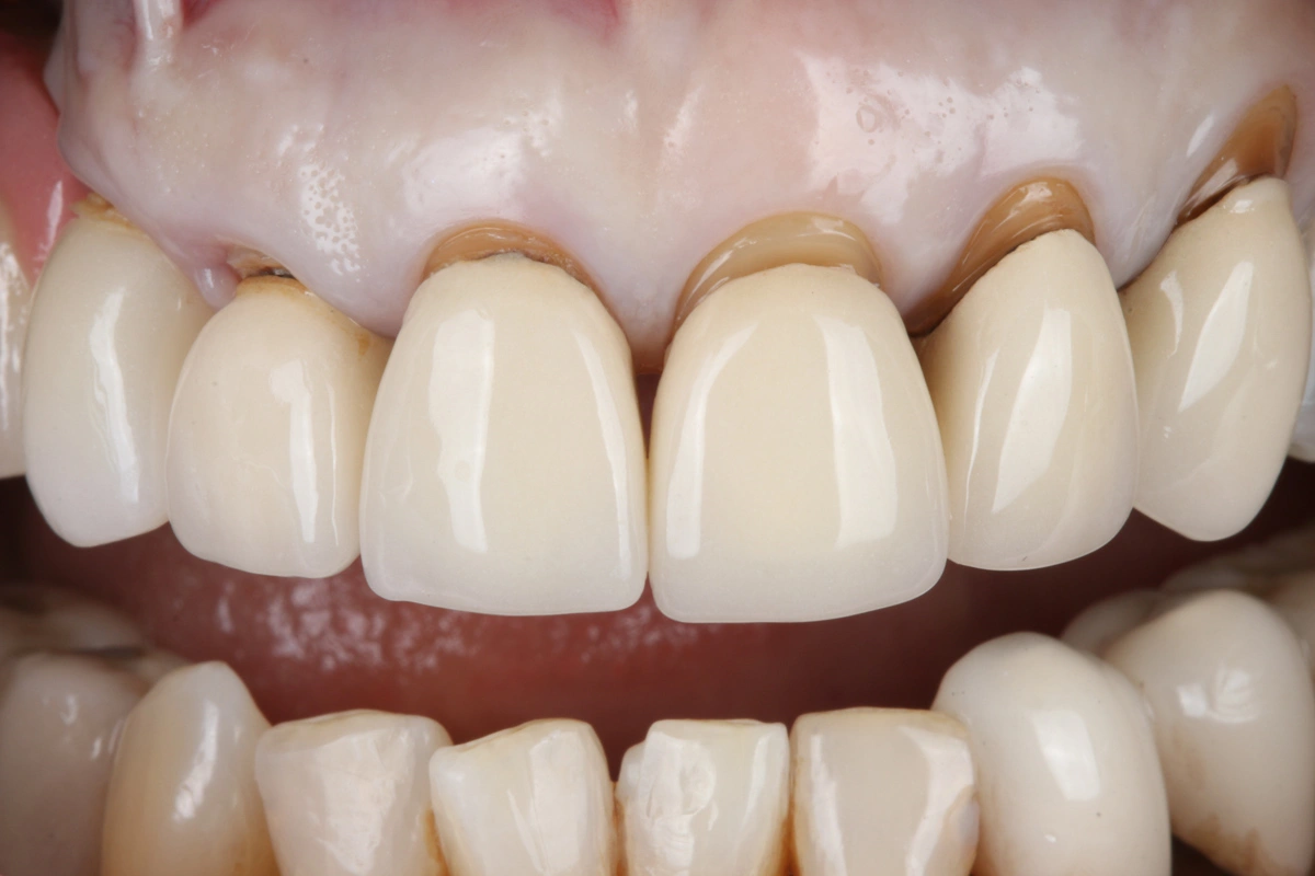
Paciente acude a consulta interesada en cambiar las coronas metal-cerámica del sector anterior que le pusieron hace más de 20 años.
Presenta signos de retracción gingival y consecuente filtración por caries.
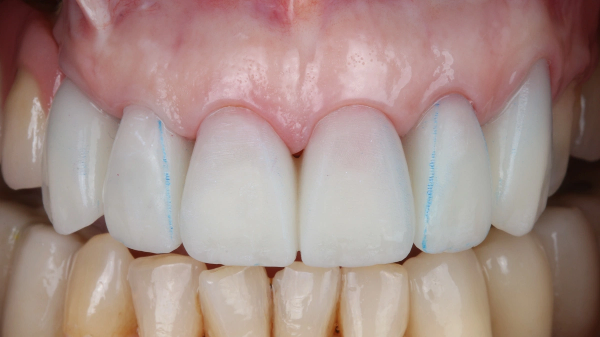
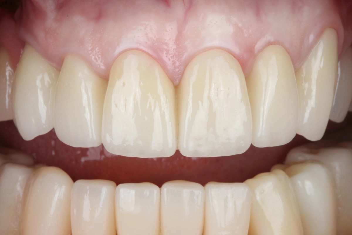
Tras realizar un estudio exhaustivo optamos por una rehabilitación del sector anterior con levantamiento de coronas antiguas, reendodoncias, reconstrucciones y puente anterior tipo BOPT* en circonio estratificado.
*BOPT: Realizamos un tallado subgingival, por lo que la fase provisional tuvo una duración de aproximadamente 8 semanas para el manejo de tejidos blandos antes de realizar las coronas definitivas.
Revisamos a la paciente cada 6 meses.










