
«Rehabilitación completa adhesiva en paciente joven con desgaste dental severo y tinción por tetraciclinas.»
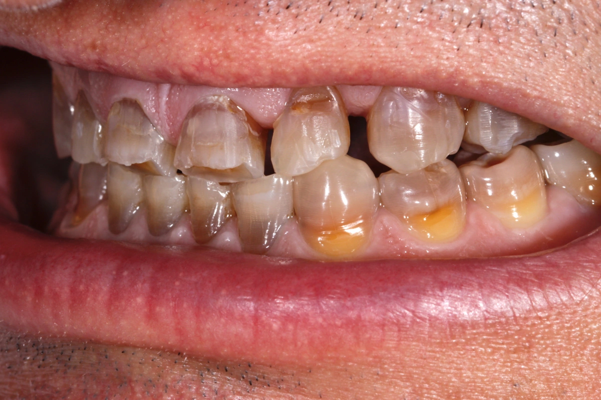
Paciente joven acude a consulta referido por el ortodoncista para tratamiento de desgaste.
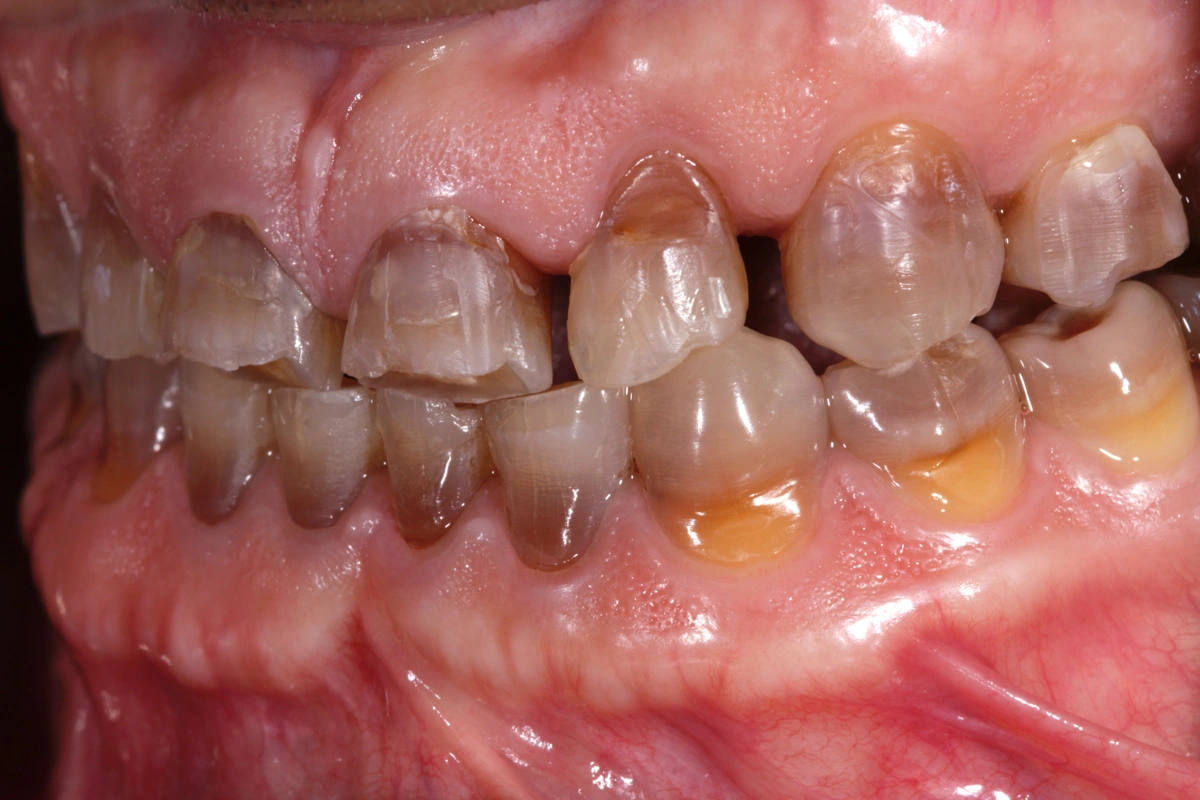
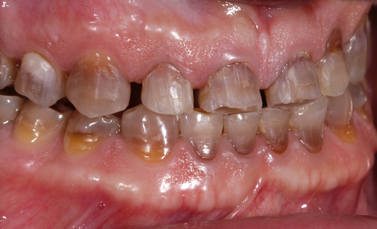
La tetraciclina era un medicamento que se administraba en los años 50 que a posteriori se han podido observar los efectos secundarios que tienen en la boca: tinción dental intrínseca. Existen distintos grados y en función de su severidad. Las tinciones por tetraciclinas suponen un reto a nivel restaurador.
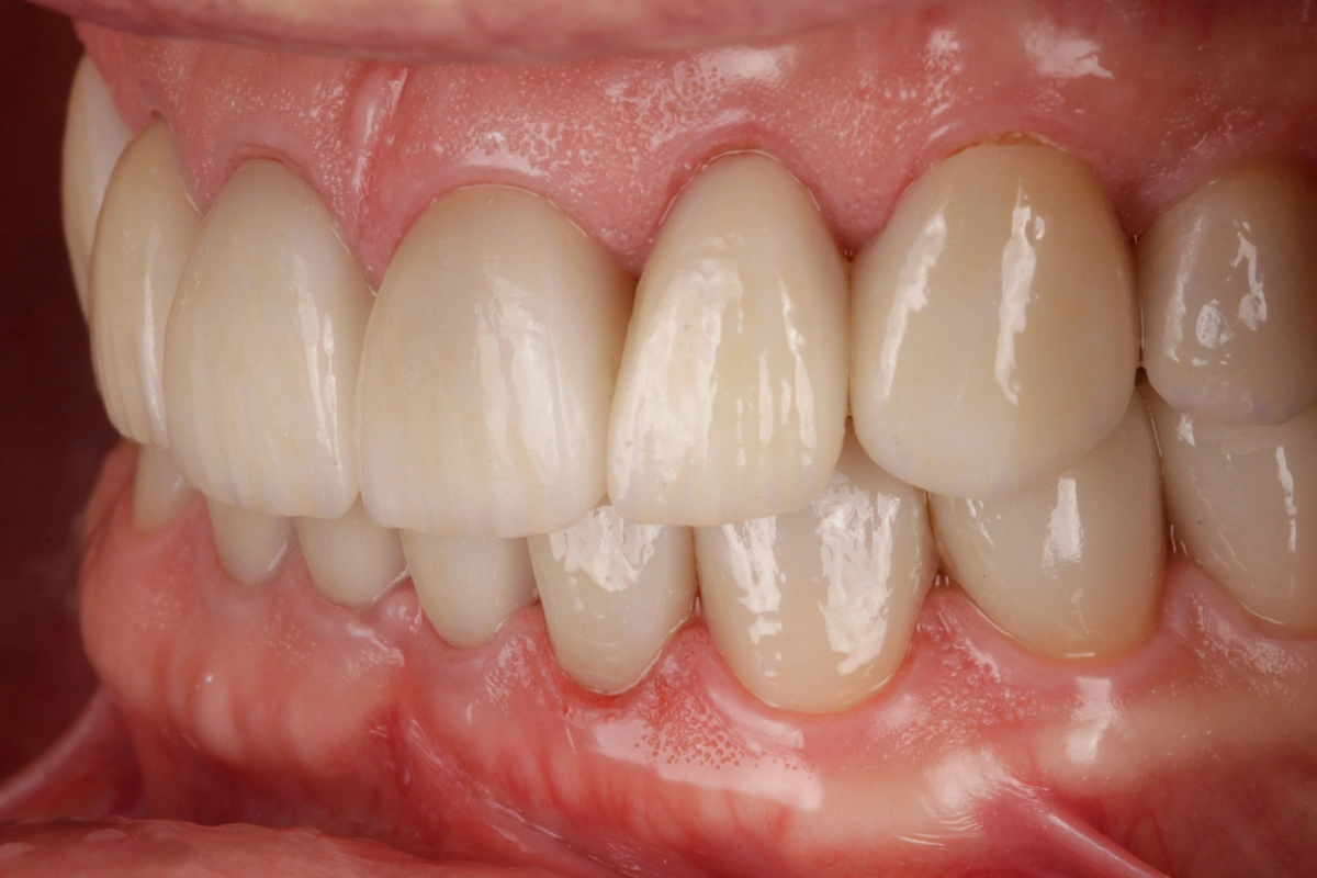
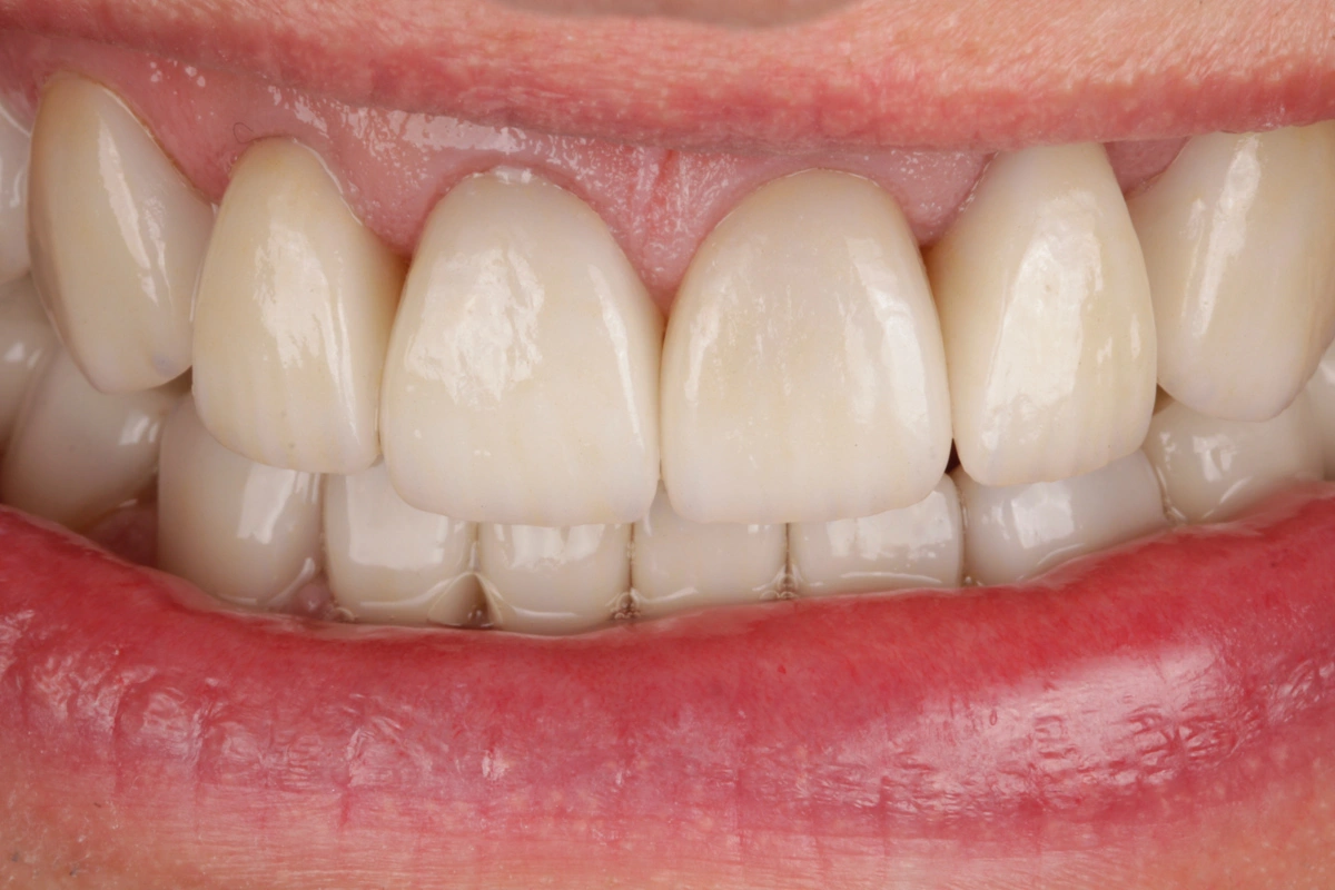
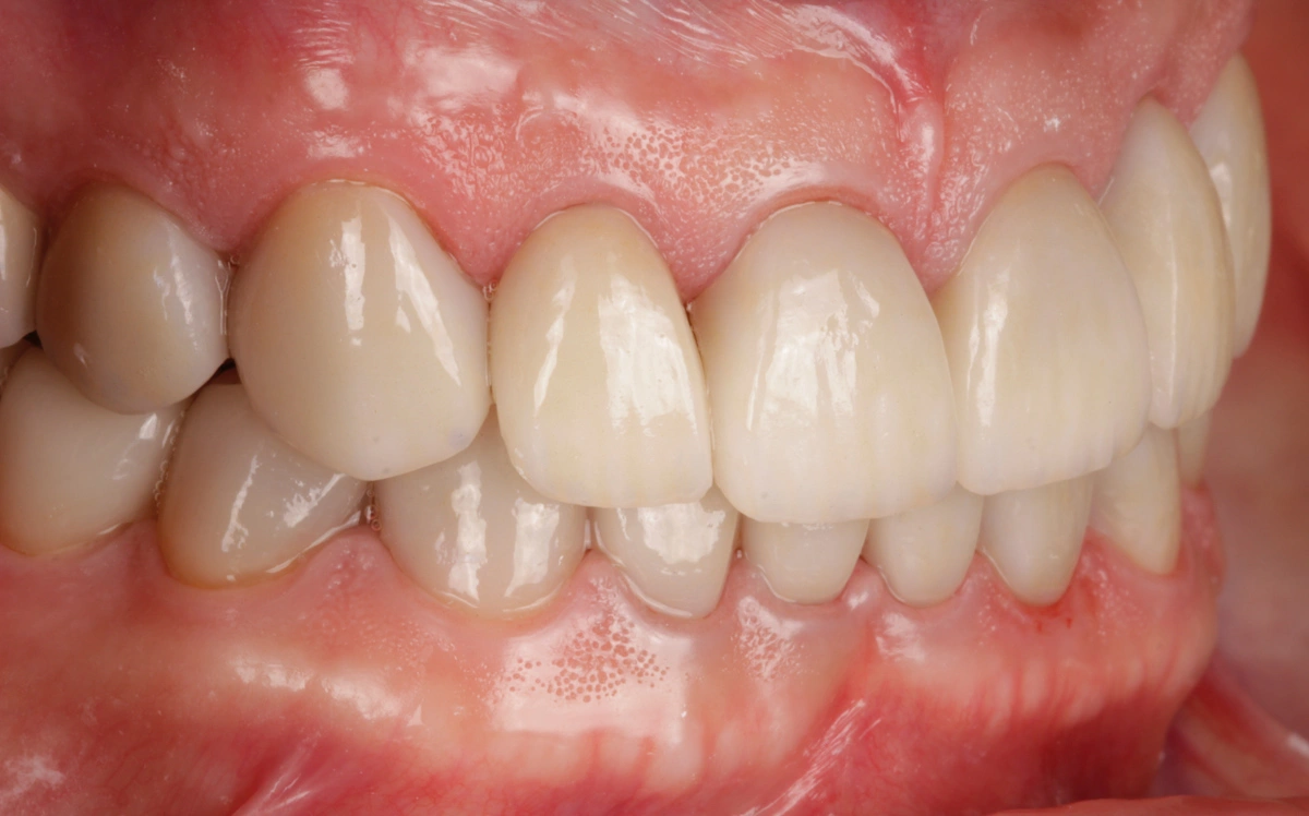
En este caso se trata de un paciente con desgaste dental severo y tinción por tetraciclinas grado IV.
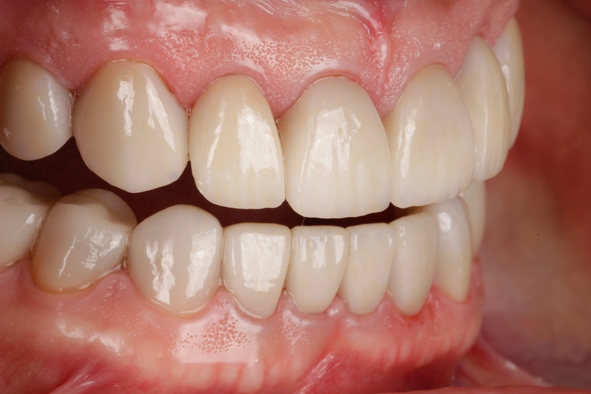
Tras realizar un estudio exhaustivo optamos por una rehabilitación completa con coronas, carillas e incrustaciones en disilicato de litio. Realizamos una prueba previa a la preparación de los dientes para establecer la longitud de los dientes definitivos.
Al finalizar el tratamiento, protegemos con una férula nocturna tipo Michigan.
Revisamos a la paciente cada 6 meses.








