Esta página incluye imágenes de procedimientos quirúrgicos que podrían resultar explicitas.

Caso clínico
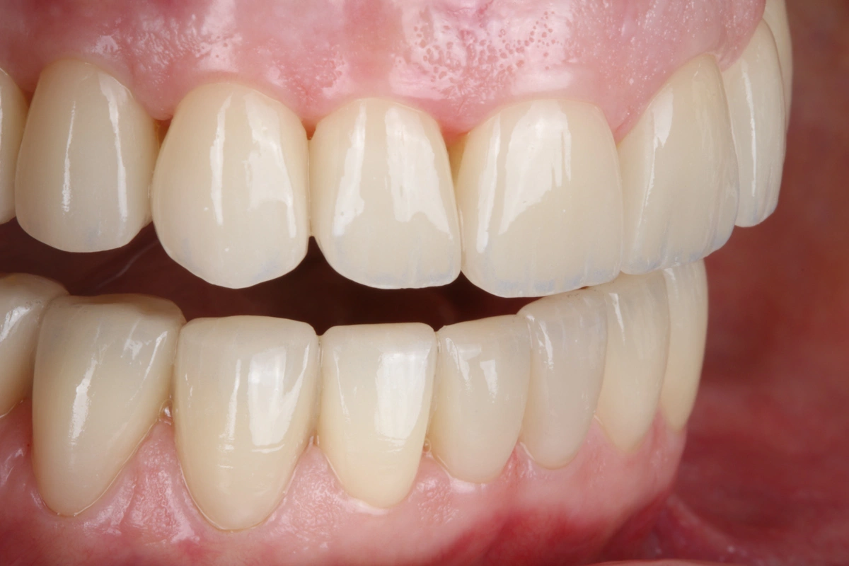
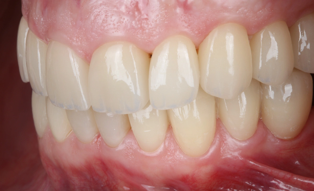
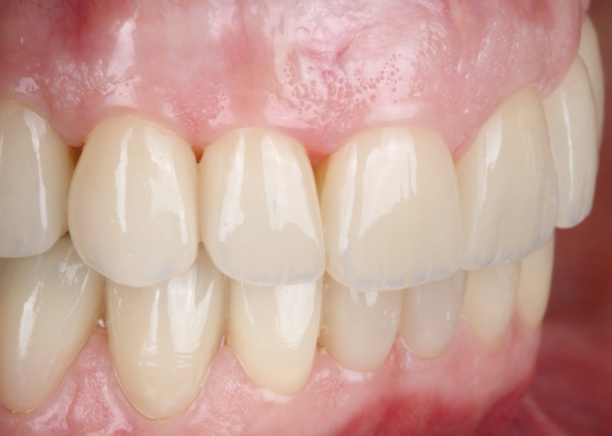
«Rehabilitación completa adhesiva por desgaste dental severo en paciente de mediana edad.»
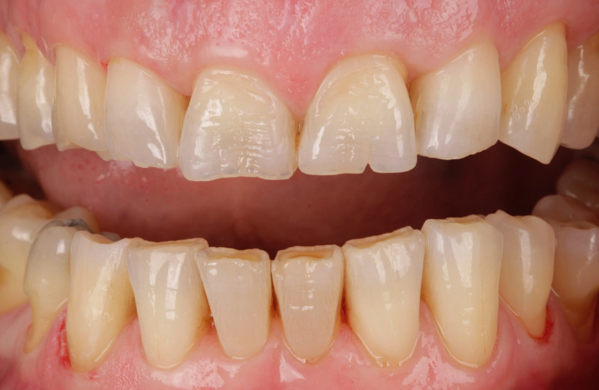
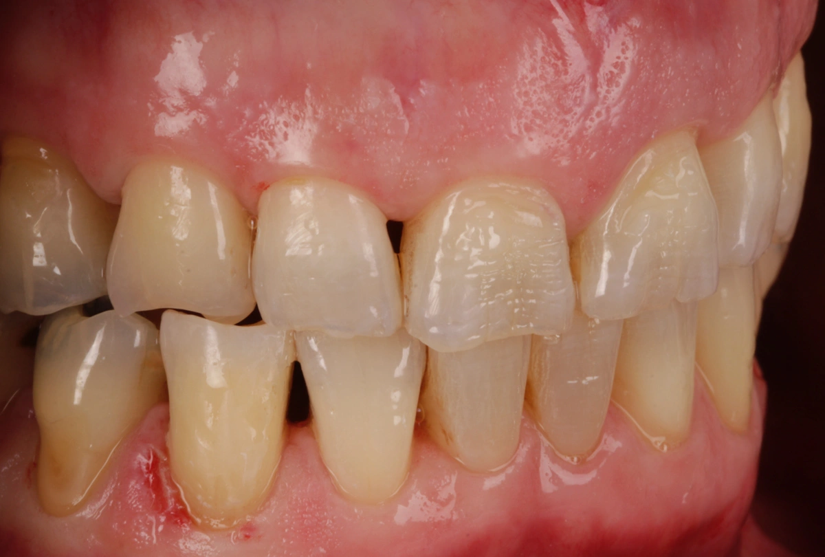
Paciente acude a consulta preocupada por el aspecto y desgaste de su dentición.
Presenta signos de atricción, erosión y abfracción.
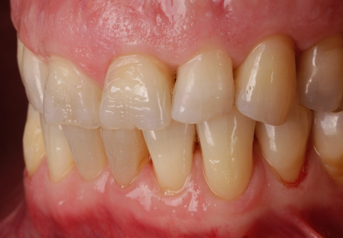
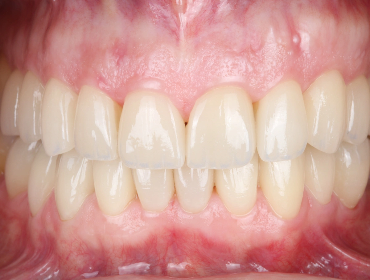
Tras realizar un estudio exhaustivo optamos por una rehabilitación completa adhesiva con carillas e incrustaciones cerámicas. Realizamos una prueba de mock-up previa a la preparación de los dientes para establecer la longitud de los dientes definitivos.
Las carillas las realizamos en porcelana feldespática y las incrustaciones en disilicato de litio.
Revisamos a la paciente cada 6 meses.








