
«Rehabilitación completa adhesiva por desgaste dental severo en paciente de avanzada edad.»
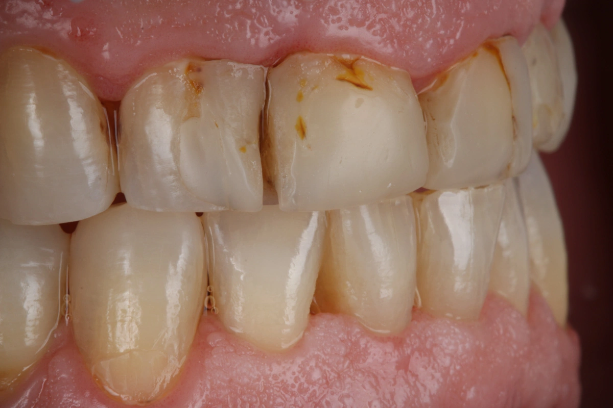
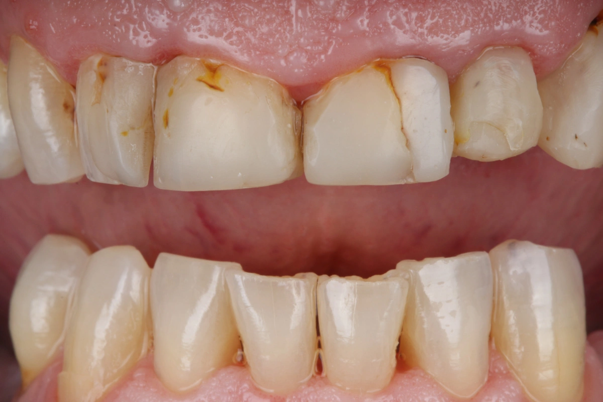
Paciente acude a consulta preocupado por la ausencia de piezas dentales y por el aspecto de su dentición.
Presenta signos de trauma oclusal, atricción, erosión y abfracción.
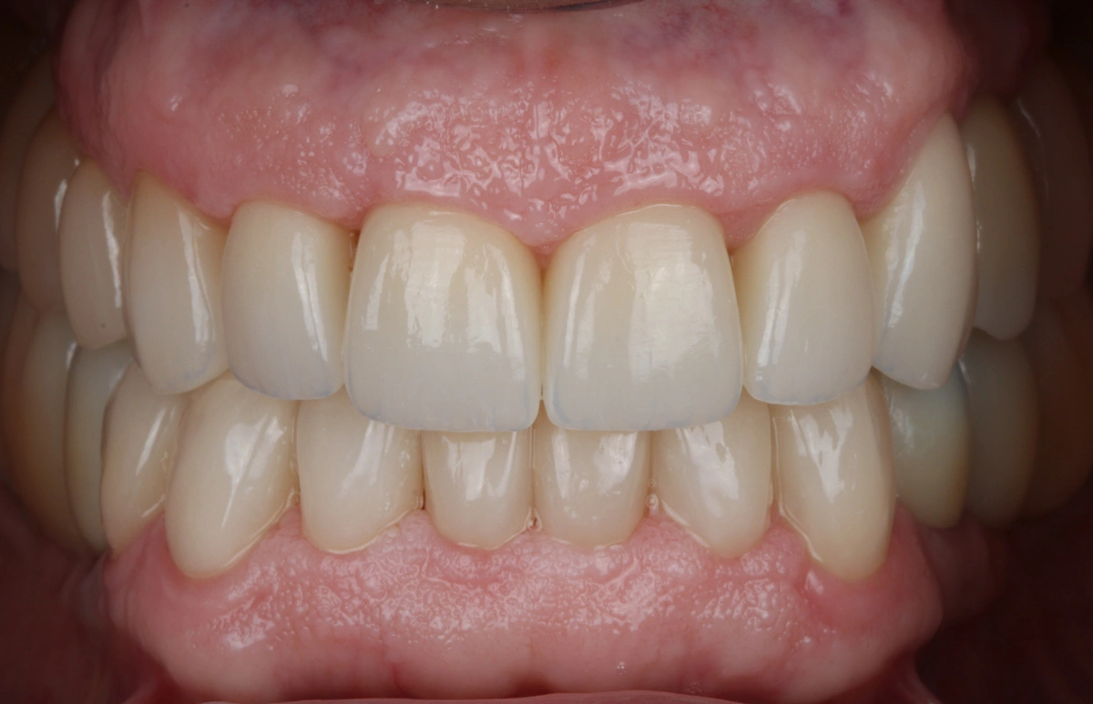
Tras realizar un estudio exhaustivo optamos por una rehabilitación completa con implantes, coronas, carillas e incrustaciones. Realizamos una prueba previa a la preparación de los dientes para establecer la longitud de los dientes definitivos.
Una vez rehabilitados los sectores posteriores, acometemos el sector anterior pero nunca antes ya que necesitamos tener una estabilidad oclusal.
Al finalizar, colocamos una férula de protección de restauraciones tipo férula de descarga Michigan para su uso nocturno.
Revisamos al paciente cada 6 meses.




